Who else thinks Methodist should buy this place? Then we could leave a shift and play HERE!!!!
Wednesday, January 30, 2013
We Could Be In Big Trouble
The closing of a neighboring hospital is NOT what we need right now, this could be really bad.
Journal Club Follow up: Interpretation of LP
As we spoke about at Journal Club, there is no standard definition of LP diagnosed SAH. This article makes an attempt to at least make a "rule out" quantification and also provides interesting data to the discussion.
"The study results suggest that there may be a CSF RBC cutoff value at which one can safely exclude a radiographically detectable SAH. In our study, an RBC count in tube 4 of 500 or less corresponded to a negative predictive value for SAH of 100%. This number was statistically significant and independent of clearance from tube to 4. The sensitivity for SAH in this RBC range was 100%."
"The study results suggest that there may be a CSF RBC cutoff value at which one can safely exclude a radiographically detectable SAH. In our study, an RBC count in tube 4 of 500 or less corresponded to a negative predictive value for SAH of 100%. This number was statistically significant and independent of clearance from tube to 4. The sensitivity for SAH in this RBC range was 100%."
Tuesday, January 29, 2013
Real Clinical Cases PART 2
This case is thanks to Dr. Thompson:
Middle aged healthy female c/o severe redness and swelling to nasal bridge and opening of nares with redness. No fever, discharge, sinus pain, eye sx.
PE: Erythematous, inflammed appearance to tip of nose with bridge edema. Exquisitely tender nares and nasal bridge. No discharge, clear nares and turbinates. Actual photo below.
Case Conclusion:
After telephone consultation with ENT on call. Patient diagnosed with Nasal Vestibulitis or Nasal Furunculosis.
This is an acute superficial infection of the nasal vestibule, skin, or hair follicle. Usually secondary to excessive nose picking, blowing, or manipulation. Staph Aureus.
Tx: Abx for Staph. Amox/Keflex/Bactrim/Clinda
Also warm compressess and analgesics.
Methodist ED: Real Clinical Cases Series PART 1
42 yo F minimally verbal at baseline (s/p CVA?) brought from NH for distended abdomen and low grade fever. Only surgical history appears to be scar from prior PEG tube in LUQ.
PE: Vital: Tachycardic 100-120, Rectal 101 F. Otherwise WNL.
Alert, moaning, nonverbal. Moaning loud with bed movement. Anicteric.
Cardiopulm: Tachycardic, Lungs CTAB
Skin: Vitiligo
Abdomen: Severe abdominal distension. No bowel sounds heard. Apparent rebound TTP. Rigid.
PE: Vital: Tachycardic 100-120, Rectal 101 F. Otherwise WNL.
Alert, moaning, nonverbal. Moaning loud with bed movement. Anicteric.
Cardiopulm: Tachycardic, Lungs CTAB
Skin: Vitiligo
Abdomen: Severe abdominal distension. No bowel sounds heard. Apparent rebound TTP. Rigid.
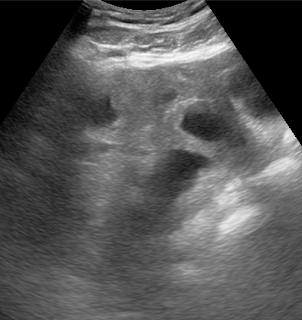
Bedside US of abdomen
________________________________________________________________
Bedside Upright Chest/Abdomen Xray.
_______________________________________________________________________
CT w/o Contrast
Case Conclusion: CT revealed sigmoid volvulus. Pt was taken emergently to OR where GI reduced the volvulus without complication using rigid sigmoidoscopy and insufflation. The next day the patient had an elective sigmoidectomy to remove redundant colon.
Friday, January 18, 2013
EM Ultrasound Competition
Welcome to the new New York Methodist Emergency Medicine
ULTRASOUND CASE OF THE MONTH COMPETITION
The Competition:
Each month residents & faculty will have the opportunity to submit any ultrasound still or clips they have acquired during that month that they believe are interesting, unique, classic, or just cool to be voted on.
The clinical ultrasound department will review and vote on the BEST and the RUNNER-UP. Prizes to be determined.
Submissions:
To all that are interested. All you have to do is save and store your images on the Zonare machines.
- Write the MR# of the patient and the type of scan you have done with date included and email them to: belgian126@gmail.com
- Use the subject heading: Ultrasound Competition
- In the body of the email describe the case briefly (one paragraph): Presentation, workup, results, and outcome if known.
Results:
Winning
images and/or clips (BEST and RUNNER-UP) will be posted with the name
of the scanner(s) on Jordan’s blog: www.champagnetap.blogspot.com/
Monday, January 14, 2013
Angioedema: The True Airway Nightmare
Fantastic lecture on managing the angioedema airway by THE Dr. Roberts of Roberts and Hedges fame with commentary by Dr. Amal Mattu.
Take home points:
*Continue to use all of your allergy fighting meds (Steroids, epi, antihistamines) even though no evidence exists that they help
*Get consultants (particularly ENT-or surgery and Anesthesia) on board immediately if you suspect decompensation. Also, ALL of your backup airway: bougie, fiberoptic, cric kit
*TRY FFP !!!! Dr. Roberts points out several case reports of improvement and recommends trying 2-3 units of FFP in true emergent cases.
Take home points:
*Continue to use all of your allergy fighting meds (Steroids, epi, antihistamines) even though no evidence exists that they help
*Get consultants (particularly ENT-or surgery and Anesthesia) on board immediately if you suspect decompensation. Also, ALL of your backup airway: bougie, fiberoptic, cric kit
*TRY FFP !!!! Dr. Roberts points out several case reports of improvement and recommends trying 2-3 units of FFP in true emergent cases.
Subscribe to:
Comments (Atom)






